

Perguntas frequentes em Implantodontia
O que é o implante dentário?
É uma raiz artificial fabricada em titânio; metal este testado por diversos anos e bem tolerado pelos ossos e tecidos adjacentes; onde será fixada uma coroa dentária, uma ponte fixa sobre implantes, uma sobre dentadura removível ou uma prótese total fixa em resina ou em porcelana dependendo do número de implantes e necessidade do paciente.
Eu sou um candidato para implante dentário?
O candidato deve possuir uma saúde geral e oral equilibrada, osso adequado para suportar o implante e não deve possuir doença periodontal alguma, ou esta deve estar controlada.
Quantos implantes são necessários?
Idealmente um por dente perdido, mas tudo dependerá do tipo de trabalho que será feito. Podendo até ser utilizados menos implantes, em relação ao número de dentes, no caso de pontes fixas sobre implante ou próteses protocol.
O que fazer se não possuir dente algum?
Dependendo da qualidade e volume ósseo existente, poderemos finalizar com diferentes tipos de trabalho.
Dentre eles, estão:
Dentre eles, estão:
PRÓTESE FIXA SOBRE IMPLANTE
É aquela que poderá ser removida apenas pelo profissional na revisão, se houver necessidade.
É aquela que poderá ser removida apenas pelo profissional na revisão, se houver necessidade.
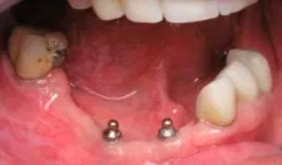
PRÓTESE REMOVÍVEL SOBRE IMPLANTE (ORING/Barra clip)
De fácil acesso para higiene, normalmente utilizando menor quantidade de implantes ou quando há dificuldade de estética devido à deficiência óssea, sendo necessário um trabalho removível que suportará melhor o lábio dando melhor estética ao mesmo.
De fácil acesso para higiene, normalmente utilizando menor quantidade de implantes ou quando há dificuldade de estética devido à deficiência óssea, sendo necessário um trabalho removível que suportará melhor o lábio dando melhor estética ao mesmo.
Devo ter algum cuidado especial com os implantes após terminar o trabalho?
Igualmente aos seus dentes, os implantes requerem cuidados na higiene e visita regular ao implantodontista. A higiene deve ser cuidadosa para que toda a placa seja removida com as escovas e fio dental. Qualquer alteração na coloração ou sangramento na gengiva deve ser relatada ao periodontista para evitar periimplantite e a futura perda do implante. A nicotina do cigarro deve ser evitada, já que prejudica o tecido periimplantar.
PRÓTESE FIXA
Esta prótese os dentes vizinhos devem ser desgastados para que a prótese seja confeccionada no laboratório e cimentada após algumas provas com cimentos resinoso
Trabalhos sobre implantes
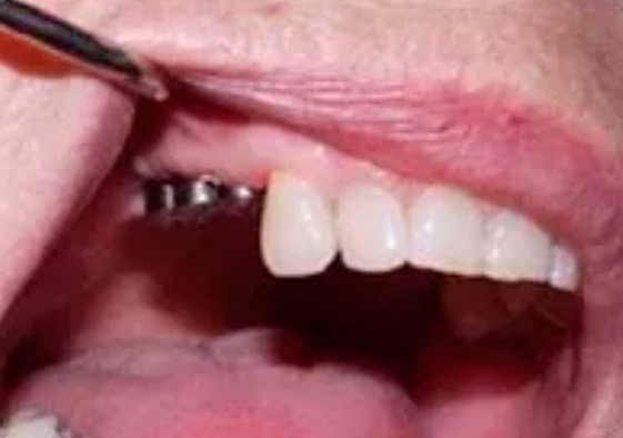
IMPLANTE UNITÁRIO


PROTOCOLO EM PORCELANA SOBRE IMPLANTE



IMPLANTE UNITÁRIO


PRÓTESE REMOVÍVEL SOBRE ORING


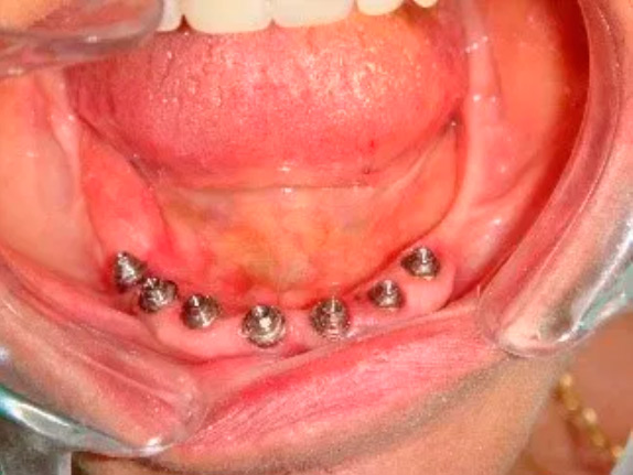
PRÓTESE BARRA CLIP (sobre dois a quatro implantes normalmente)

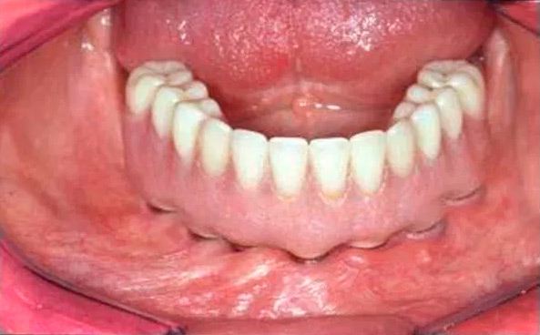
PRÓTESE PROTOCOLO INFERIOR EM PORCELANA


PRÓTESE PROTOCOLO BRANEMARK (Resina)

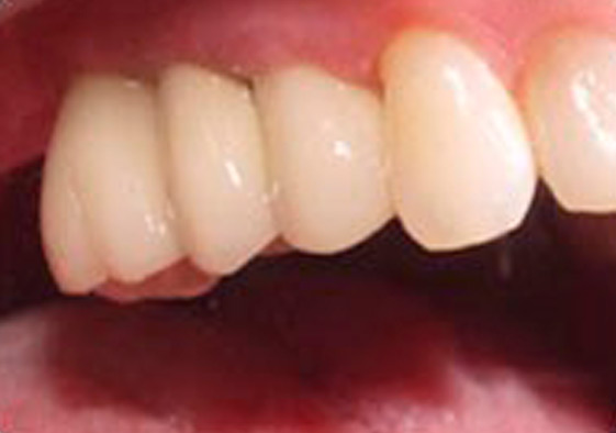
PRÓTESE FIXA PARCIAL SOBRE IMPLANTE




